Table of Contents



Washington University Experience | PERIPHERAL NEUROPATHY | 7B CIDP | 20B2 GBS, Chronic (Case 20)

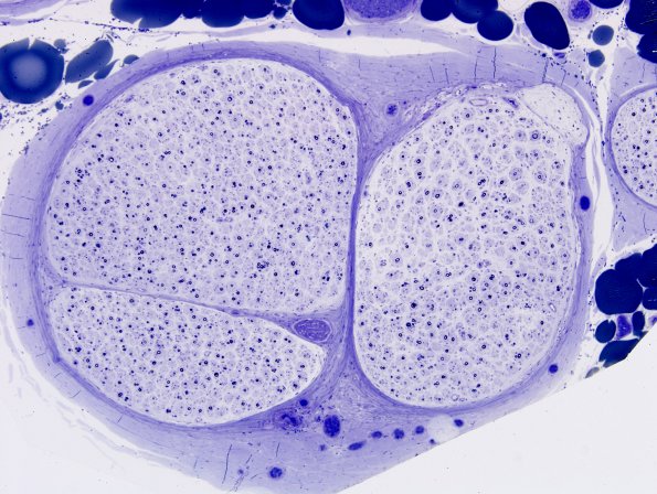
20B2 GBS, Chronic (Case 20)
A plastic image showing expected onion-bulb formation. (Plastic sections)


Gallery RSS RSS Feed | Archive View | Login | Powered by Zenphoto