Table of Contents
« prev
next »
Washington University Experience
|
PERIPHERAL NEUROPATHY
|
7B CIDP
|
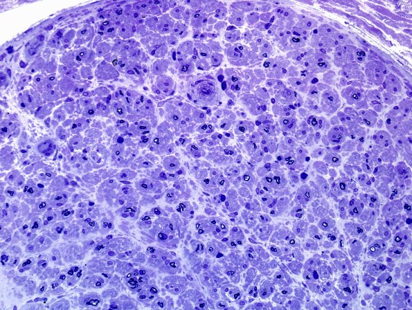
2C1 CIDP (Case 2) Plastic 5.jpg
2C1,2 Numerous onion-bulbs are present with various degrees of central axon demyelination. (Plastic sections)
Image Info
Camera Maker:
Olympus Corporation
Camera Model:
DP70
Original Time Taken:
08-10-2016
Shutter Speed:
1/205 sec
ISO Sensitivity:
200
Metering Mode:
Spot
Gallery RSS
|
Archive View
|
Login
|
Powered by
Zenphoto