Table of Contents



Washington University Experience | PERIPHERAL NEUROPATHY | 7B CIDP | 2C2 CIDP (Case 2) Plastic 1

2C2 CIDP (Case 2) Plastic 1
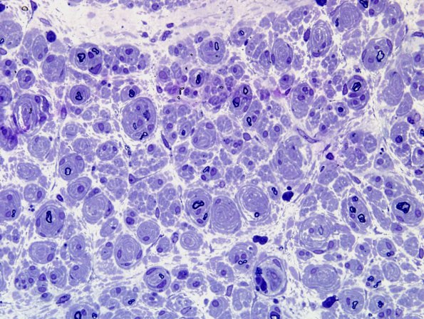
Numerous onion-bulbs are present with various degrees of central axon demyelination. (Plastic sections)


Gallery RSS RSS Feed | Archive View | Login | Powered by Zenphoto