Table of Contents
Washington University Experience | PERIPHERAL NEUROPATHY | 7B CIDP | 2C3 CIDP (Case 2) Plastic 10 copy.jpg
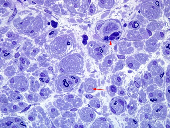
This section shows numerous onion bulbs, a completely demyelinated axon (arrow) and macrophages within the onion bulb (arrowhead). (Plastic section)
