Table of Contents
« prev
next »
Washington University Experience
|
PERIPHERAL NEUROPATHY
|
7B CIDP
|
2C4 6CIDP (Case 2) Plastic 11 copy.jpg
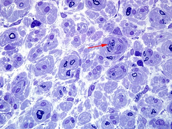
An axon associated with a central actively demyelinating macrophage (arrow). (Plastic sections)
Image Info
Camera Maker:
Olympus Corporation
Camera Model:
DP70
Original Time Taken:
08-10-2016
Shutter Speed:
1/32 sec
ISO Sensitivity:
200
Metering Mode:
Spot
Gallery RSS
|
Archive View
|
Login
|
Powered by
Zenphoto