Table of Contents



Washington University Experience | PERIPHERAL NEUROPATHY | 7B CIDP | 2D3 CIDP (Case 2) EM 080 - Copy

2D3 CIDP (Case 2) EM 080 - Copy
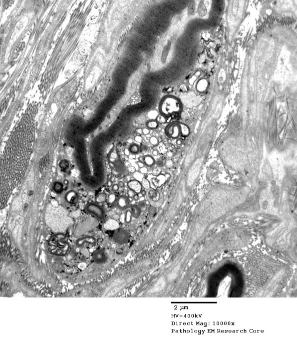
A macrophage with engulfed myelin adjacent to a partially myelinated axon which is itself intact. (electron micrograph)


Gallery RSS RSS Feed | Archive View | Login | Powered by Zenphoto