Table of Contents



Washington University Experience | PERIPHERAL NEUROPATHY | 7B CIDP | 2D5 CIDP (Case 2) EM 093 - Copy

2D5 CIDP (Case 2) EM 093 - Copy
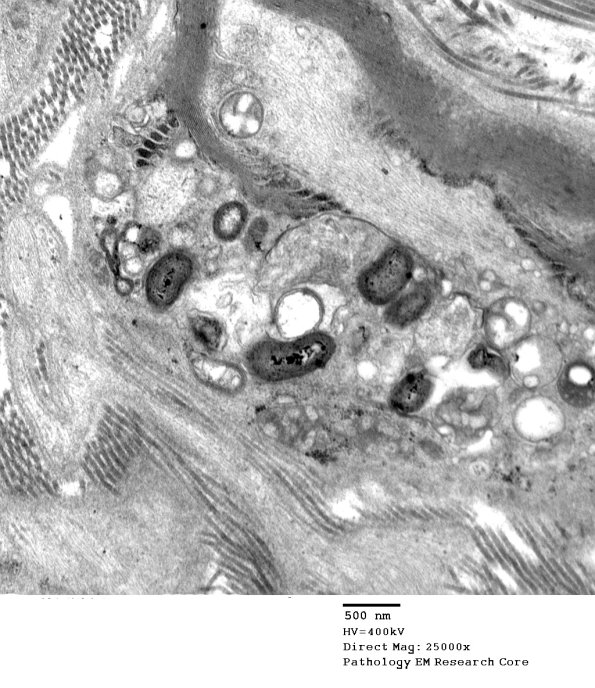
A macrophage with myelin debris is intimately associated with a paranodal axon. (electron micrograph)


Gallery RSS RSS Feed | Archive View | Login | Powered by Zenphoto