Table of Contents
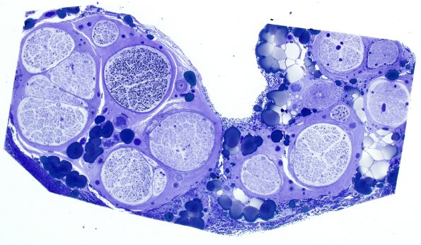
Washington University Experience | PERIPHERAL NEUROPATHY | 7B CIDP | 3A1 CIDP (Case 3) Plastic 4
Case 3 No History ---- 3A1,2 The fascicles show major differences in size and numbers of myelinated axons, a typical finding in CIDP versus uniform involvement in hereditary onion bulb neuropathies. (Plastic sections)
