Table of Contents



Washington University Experience | PERIPHERAL NEUROPATHY | 7B CIDP | 3A3 CIDP (Case 3) Plastic 1

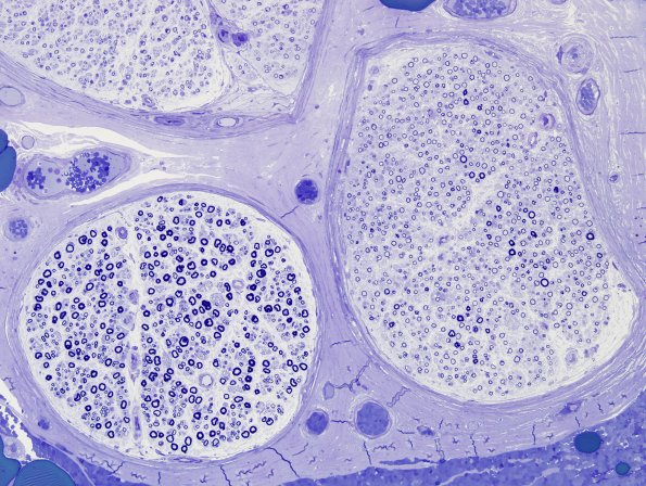
3A3 CIDP (Case 3) Plastic 1
Higher magnification of two fascicles differing in demyelinative involvement. (Plastic section)


Gallery RSS RSS Feed | Archive View | Login | Powered by Zenphoto