Table of Contents
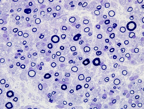
Washington University Experience | PERIPHERAL NEUROPATHY | 7B CIDP | 3A4 CIDP (Case 3) Plastic 100X 9
The right sided fascicle of 3A3 at higher magnification shows axons in various stages of demyelination and remyelination but relatively few onion-bulbs.
