Table of Contents



Washington University Experience | PERIPHERAL NEUROPATHY | 7B CIDP | 3A5 CIDP (Case 3) Plastic 100X 10

3A5 CIDP (Case 3) Plastic 100X 10
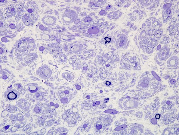
3A5,6 In some areas there are numerous fields of demyelinated axons. (Plastic sections)


Gallery RSS RSS Feed | Archive View | Login | Powered by Zenphoto