Table of Contents



Washington University Experience | PERIPHERAL NEUROPATHY | 7B CIDP | 3A6 CIDP (Case 3) Plastic 100X 11

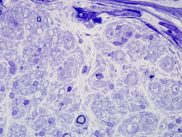
3A6 CIDP (Case 3) Plastic 100X 11
In some areas there are numerous fields of demyelinated axons. (Plastic sections)


Gallery RSS RSS Feed | Archive View | Login | Powered by Zenphoto