Table of Contents



Washington University Experience | PERIPHERAL NEUROPATHY | 7B CIDP | 3A7 Fig 9-14 CIDP (Case 3) Plastic 100X 7 copy

3A7 Fig 9-14 CIDP (Case 3) Plastic 100X 7 copy
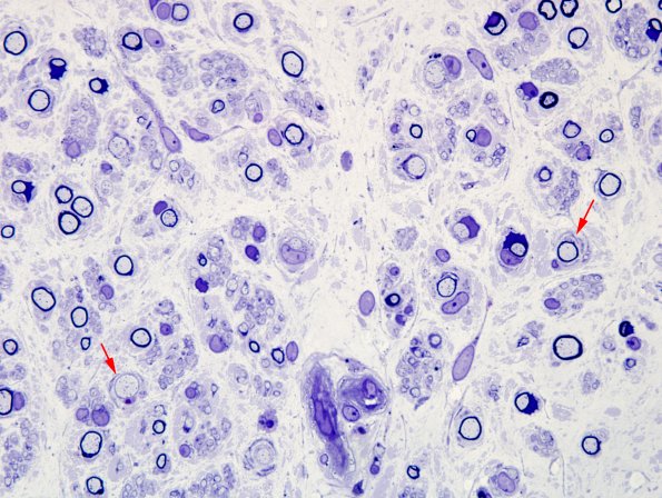
In this area there are scattered rudimentary onion bulbs. (Plastic section)


Gallery RSS RSS Feed | Archive View | Login | Powered by Zenphoto