Table of Contents
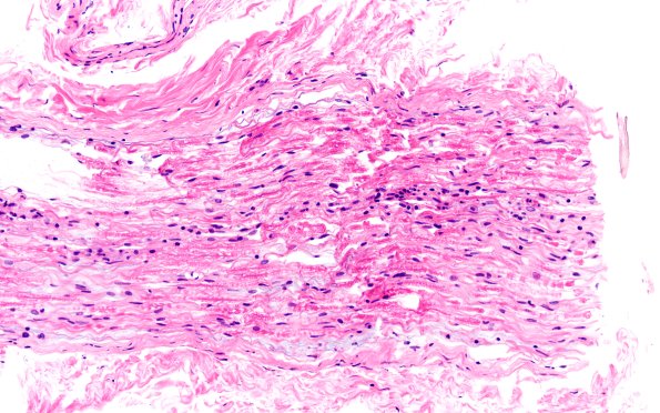
Washington University Experience | PERIPHERAL NEUROPATHY | 7B CIDP | 4A CIDP (Case 4) D Anterior Interosseus nerve H&E 20X
Case 4 History ---- The patient is a 63-year-old female with type 2 diabetes and a several month history of progressive upper and lower extremity weakness and sensory loss in the arms and legs, changes in voice and difficulty swallowing. There was clinical concern for a demyelinating process like CIDP. Operative procedure: Right nerve to flexor digitorum superficialis biopsy; right quadriceps biopsy; right anterior interosseous nerve (AIN) biopsy; right deltoid muscle biopsy. ---- 4A This is a longitudinal section of the anterior interosseus nerve showing perivascular inflammation. (H&E)
