Table of Contents
« prev
next »
Washington University Experience
|
PERIPHERAL NEUROPATHY
|
7B CIDP
|
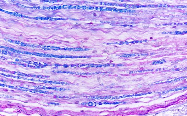
4B3 CIDP (Case 4) D Anterior Interosseus nerve LFB-PAS 40X
Several magnifications of the AIN showing patchy demyelination (LFB-PAS).
Image Info
Camera Maker:
Olympus
Camera Model:
DP74
Shutter Speed:
29/7754 sec
Metering Mode:
Multi-Spot
Gallery RSS
|
Archive View
|
Login
|
Powered by
Zenphoto