Table of Contents
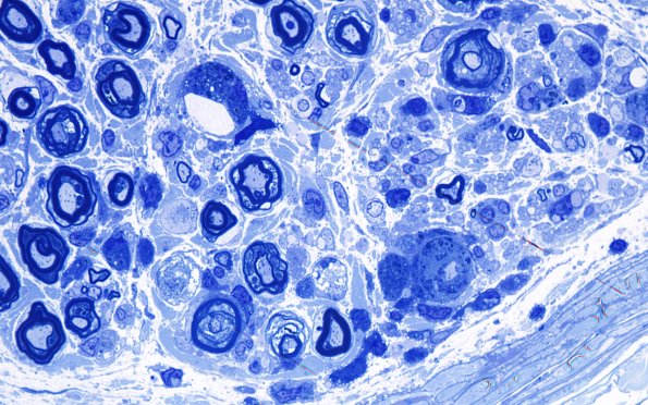
Washington University Experience | PERIPHERAL NEUROPATHY | 7B CIDP | 4E7 CIDP (Case 4) D Anterior Interosseus nerve Plastic 100X 12
Even though there are significant numbers of artifactually distorted axons, there are also numerous demyelinated axons with intimately apposed macrophages. (Plastic sections)
