Table of Contents



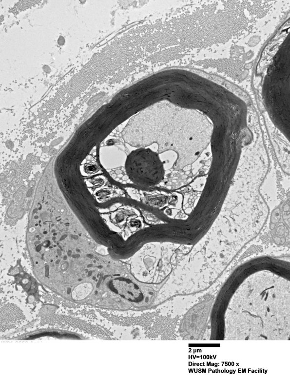
Washington University Experience | PERIPHERAL NEUROPATHY | 7B CIDP | 4F1 Case 4 Ant Interosseus nerve_031.jpg

4F1 Case 4 Ant Interosseus nerve_031.jpg
4F1,2 Two axons showing active macrophage-mediated demyelination. (electron micrographs)


Gallery RSS RSS Feed | Archive View | Login | Powered by Zenphoto