Table of Contents
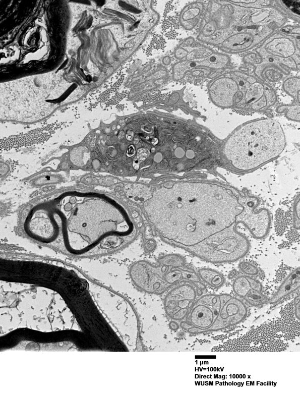
Washington University Experience | PERIPHERAL NEUROPATHY | 7B CIDP | 4F10A (Case 4) Ant Interosseus nerve_052 - Copy
4F10A,B A macrophage with cytoplasmic myelin debris extending pseudopods around a naked axon. (electron micrographs)
