Table of Contents
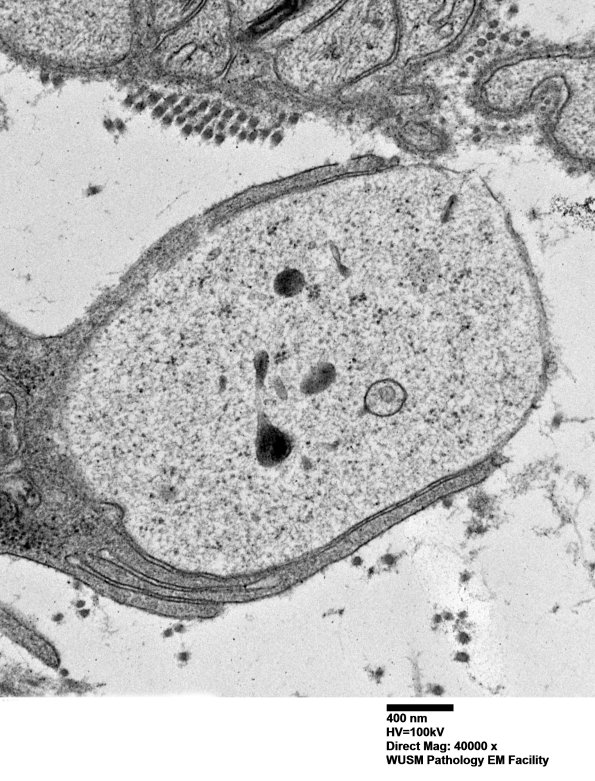
Washington University Experience | PERIPHERAL NEUROPATHY | 7B CIDP | 4F10B (Case 4) Ant Interosseus nerve_050 - Copy
A macrophage with cytoplasmic myelin debris extending pseudopods around a naked axon. (electron micrographs) ---- Comment: This patient failed to respond to IvIg but was strikingly steroid responsive.
