Table of Contents



Washington University Experience | PERIPHERAL NEUROPATHY | 7B CIDP | 4F2 Case 4 Ant Interosseus nerve_025 copy.jpg

4F2 Case 4 Ant Interosseus nerve_025 copy.jpg
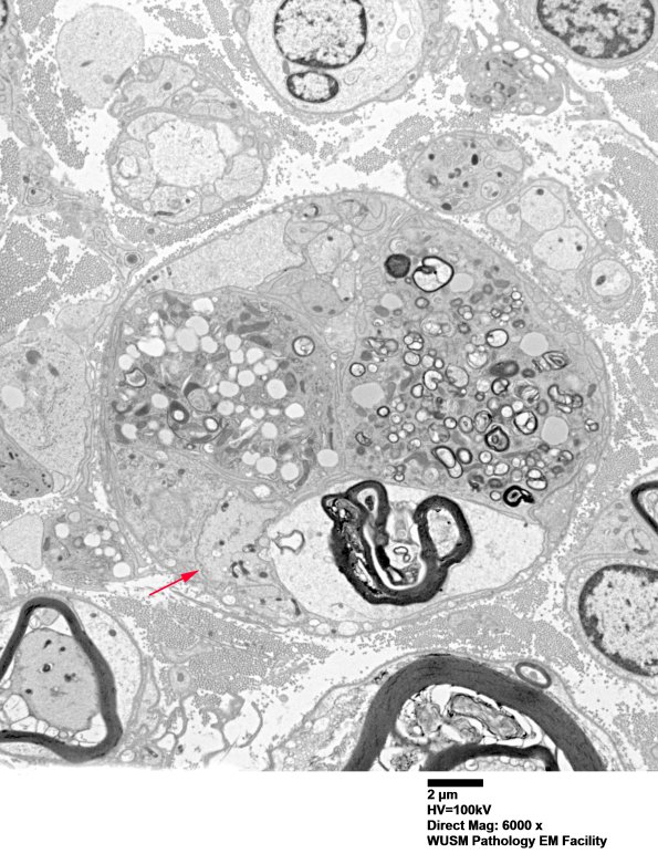
Two axons showing active macrophage-mediated demyelination. (electron micrographs)


Gallery RSS RSS Feed | Archive View | Login | Powered by Zenphoto