Table of Contents
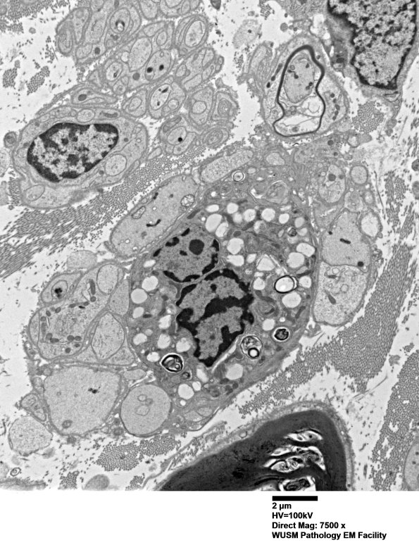
Washington University Experience | PERIPHERAL NEUROPATHY | 7B CIDP | 4F3 Case 4 Ant Interosseus nerve_048.jpg
4F3-5 There are numerous axons which are completely demyelinated and associated with nearby macrophages with myelin debris. (electron micrographs)
