Table of Contents
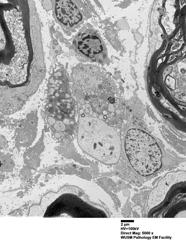
Washington University Experience | PERIPHERAL NEUROPATHY | 7B CIDP | 4F4A Case 4 Ant Interosseus nerve_018.jpg
There are numerous axons which are completely demyelinated and associated with nearby macrophages with myelin debris. (electron micrographs)
