Table of Contents
Washington University Experience | PERIPHERAL NEUROPATHY | 7B CIDP | 4F4B (Case 4) Ant Interosseus nerve_020 - Copy
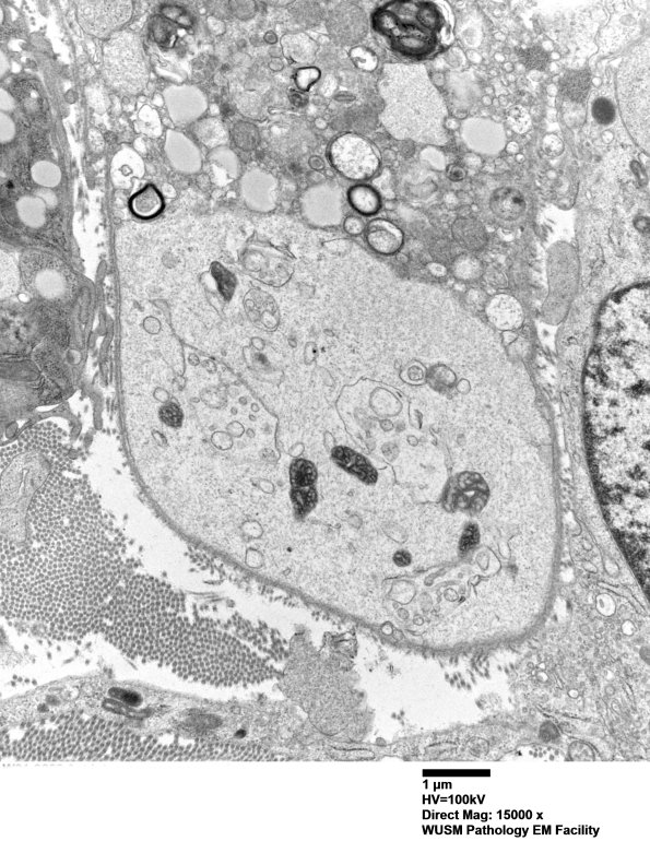
4F4B A higher magnification of image #4F4A showing a very busy structure adjacent to a macrophage containing myelin debris and lipid droplets. My first temptation in this setting and ultrastructural environment is that this is a demyelinated axon; however, it has an unusual content compared to typical demyelinated axons and I am not entirely sure. Most Schwann processes in this case are nowhere near this large. (electron micrograph)
