Table of Contents
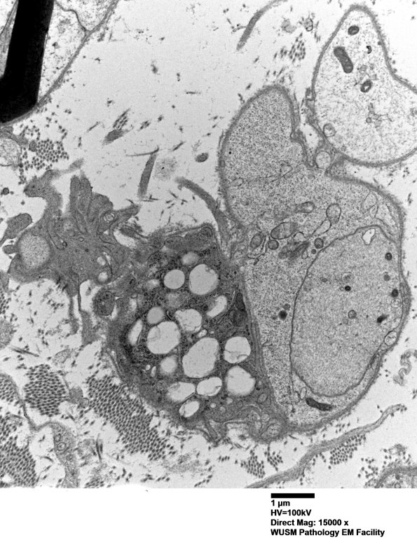
Washington University Experience | PERIPHERAL NEUROPATHY | 7B CIDP | 4F5A Case 4 Ant Interosseus nerve_033.jpg
There are numerous axons which are completely demyelinated and associated with nearby macrophages with myelin debris. (electron micrographs)
