Table of Contents
Washington University Experience | PERIPHERAL NEUROPATHY | 7B CIDP | 4F6 Case 4 Ant Interosseus nerve_058.jpg
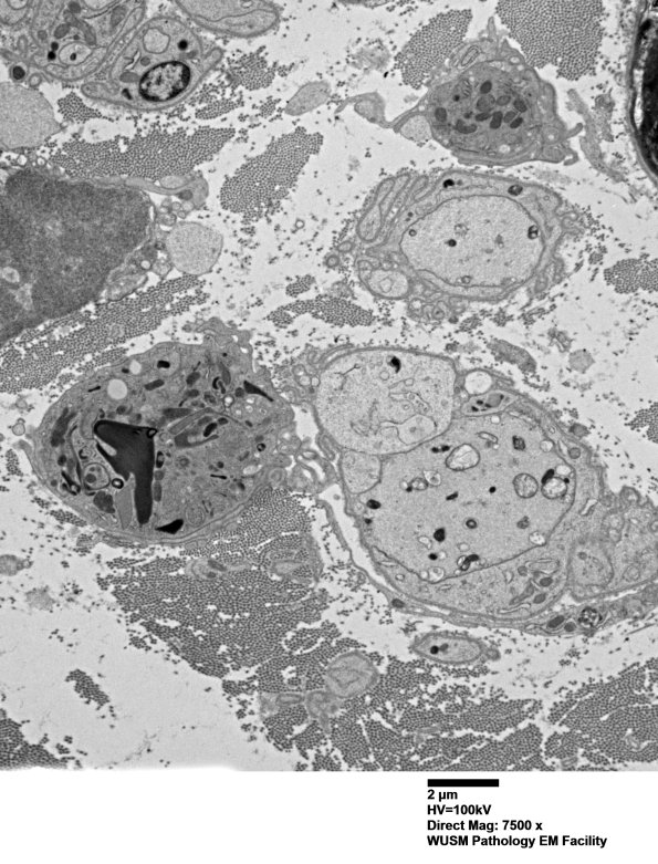
4F6,7 There are two adjacent processes, one an axon and the second a pale Schwann process (arrow) with endoplasmic reticulum and a few smudged ribosomes. (electron micrographs)
