Table of Contents



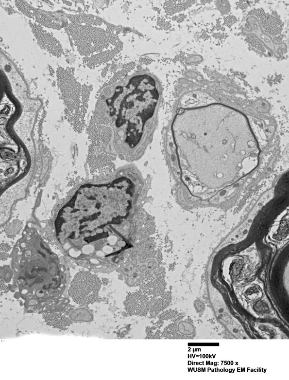
Washington University Experience | PERIPHERAL NEUROPATHY | 7B CIDP | 4F8 Case 4 Ant Interosseus nerve_056.jpg

4F8 Case 4 Ant Interosseus nerve_056.jpg
In this case a large myelinated axon has begun remyelination. (electron micrograph)


Gallery RSS RSS Feed | Archive View | Login | Powered by Zenphoto