Table of Contents
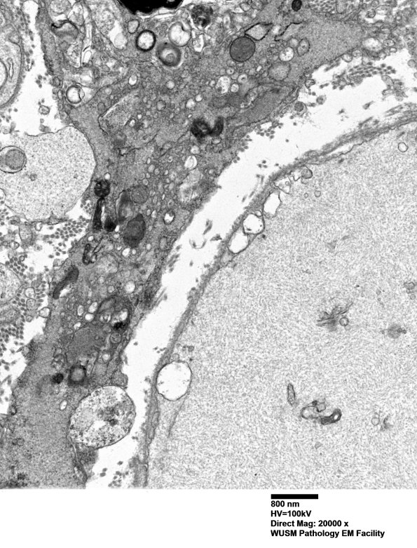
Washington University Experience | PERIPHERAL NEUROPATHY | 7B CIDP | 4F9B (Case 4) Ant Interosseus nerve_030 - Copy
A macrophage with pseudopods surrounding a myelinated axon and adjacent to a large completely naked neurofilament containing axon. (electron micrographs)
