Table of Contents
Washington University Experience | PERIPHERAL NEUROPATHY | 7B CIDP | 5A Activated Schwann Cell (Case 5) Plastic copy.jpg
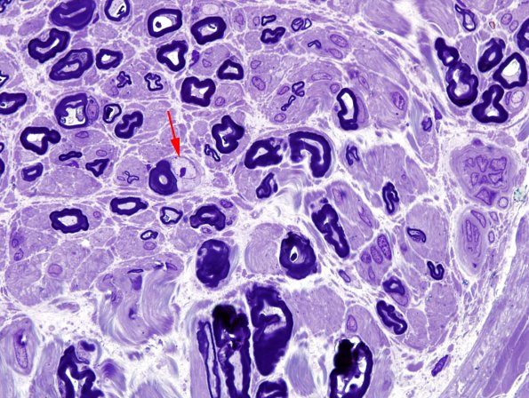
Case 5 History ---- The patient is a 63 year old female with progressive upper and lower extremity weakness with hypertonia, hyperreflexia, and evidence of demyelination on electromyelogram, clinically thought to be caused by CIDP. She failed some early treatments for CIDP and, in response, muscle and nerve biopsies were performed to rule out a different pathologic process such as vasculitis. Operative procedure: Right vastus muscle and right sural nerve biopsy. ---- 5A Not much suggests demyelination in this image; however, some Schwann cells show reactive or degenerative changes, with dilated ER, loss of organelles, and watery distension. Little or no myelin debris has accumulated within Schwann cells. (Plastic section)
