Table of Contents
Washington University Experience | PERIPHERAL NEUROPATHY | 7B CIDP | 5B1 Case 5 Njerve Vicher_030 - Copy
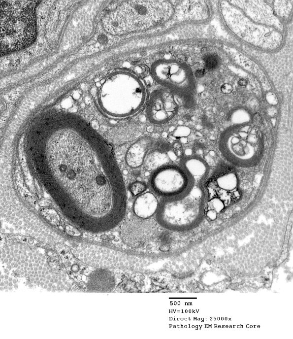
5B1,2 In this case there is demyelination of otherwise normal appearing myelin with axonal preservation. (electron micrograph)
