Table of Contents



Washington University Experience | PERIPHERAL NEUROPATHY | 7B CIDP | 5B2 Case 5 Njerve Vicher_031 - Copy

5B2 Case 5 Njerve Vicher_031 - Copy
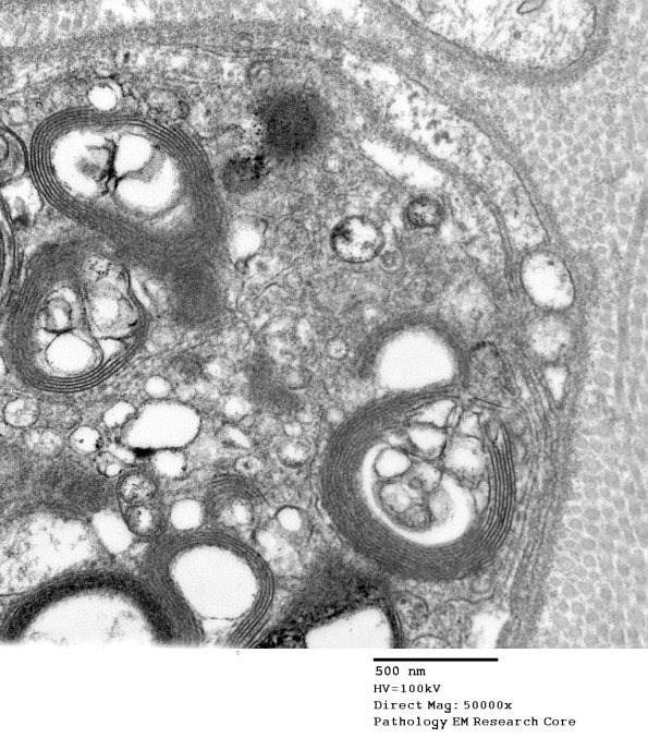
In this case there is demyelination of otherwise normal appearing myelin with axonal preservation. (electron micrograph)


Gallery RSS RSS Feed | Archive View | Login | Powered by Zenphoto