Table of Contents
Washington University Experience | PERIPHERAL NEUROPATHY | 7B CIDP | 5B3 Case 5 Njerve Vicher_053 copy - Copy
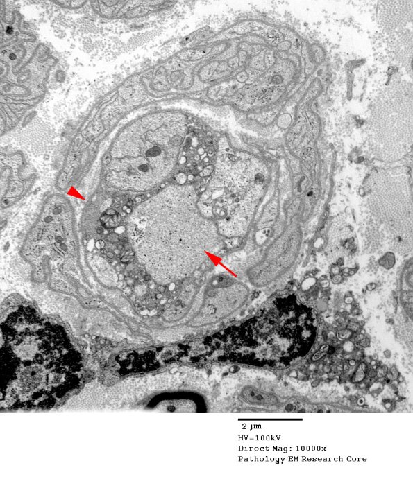
The axon (arrow) is accompanied by two pale Schwann cell processes surrounded by the serpiginous processes of a macrophage (arrowhead). Does it connect at another level with the macrophage at the lower right in the image? (electron micrograph)
