Table of Contents



Washington University Experience | PERIPHERAL NEUROPATHY | 7B CIDP | 5B4 Case 5 Njerve Vicher_054 - Copy

5B4 Case 5 Njerve Vicher_054 - Copy
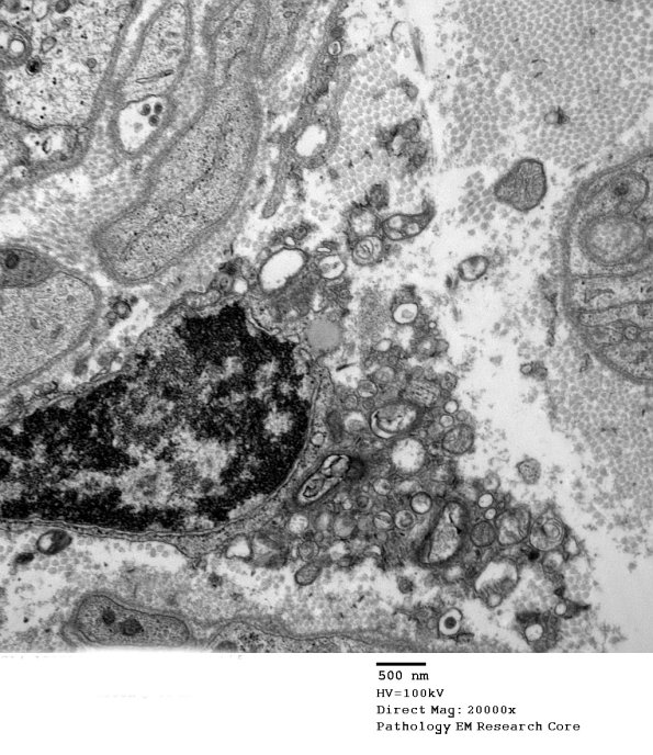
The debris containing macrophage seen in image 5B3. (electron micrograph)


Gallery RSS RSS Feed | Archive View | Login | Powered by Zenphoto