Table of Contents
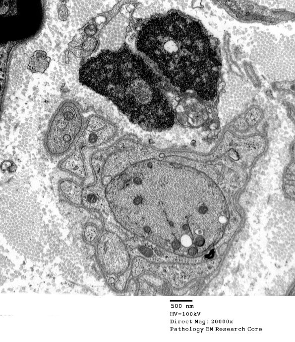
Washington University Experience | PERIPHERAL NEUROPATHY | 7B CIDP | 5B6 Case 5 Njerve Vicher_063 - Copy
5B6,7 Demyelinated axons without remyelination. Notice there is no myelin debris in the surrounding Schwann cell. (electron micrograph)
