Table of Contents
Washington University Experience | PERIPHERAL NEUROPATHY | 7B CIDP | 5B7 CIDP (Case 5) EM 012 - Copy
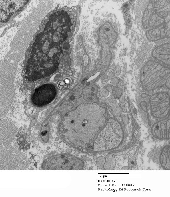
Demyelinated axons without remyelination. Notice there is no myelin debris in the surrounding Schwann cell. (electron micrograph)
