Table of Contents
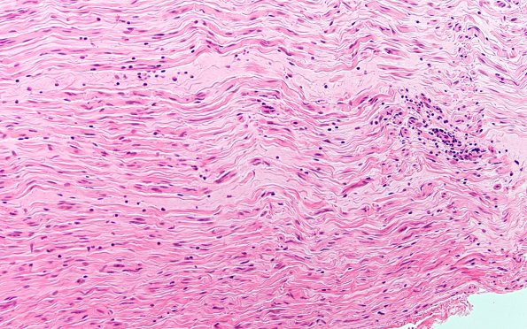
Washington University Experience | PERIPHERAL NEUROPATHY | 7B CIDP | 6A1 Case 6 H&E 20X 2
Case 6 History ---- The patient, a four year old male, received a diagnosis of CIDP at the age of 18 months. He was treated with multiple modalities including steroids, IVIg, azathioprine, cephalosporin and methotrexate; therapy was discontinued in July 2005. At that time his EMG showed prolonged latency and small CMAP amplitudes without conduction block. Now he has proximal muscle weakness. Operative procedure: Sural nerve biopsy and gastrocnemius muscle biopsy. ---- 6A1,2 The nerve shows patchy pallor and perivascular inflammation. (H&E)
