Table of Contents



Washington University Experience | PERIPHERAL NEUROPATHY | 7B CIDP | 6C1 CIDP (Case 6) Wepler_001 - Copy

6C1 CIDP (Case 6) Wepler_001 - Copy
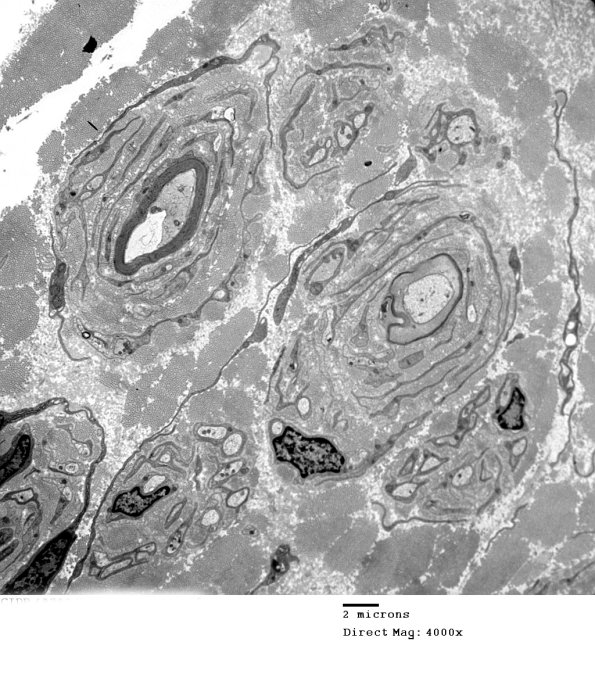
6C1-6 There are multiple well-formed onion bulbs surrounding thinly myelinated central axons. (electron micrographs)


Gallery RSS RSS Feed | Archive View | Login | Powered by Zenphoto