Table of Contents



Washington University Experience | PERIPHERAL NEUROPATHY | 7B CIDP | 6C4 CIDP Case 6_032 - Copy

6C4 CIDP Case 6_032 - Copy
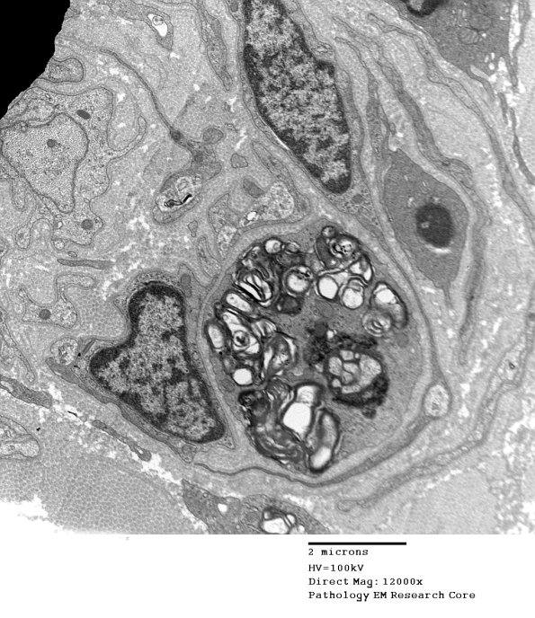
In this case a macrophage is leaving a demyelinated cell without onion-bulbs. (electron micrograph)


Gallery RSS RSS Feed | Archive View | Login | Powered by Zenphoto