Table of Contents



Washington University Experience | PERIPHERAL NEUROPATHY | 7B CIDP | 6C6 CIDP Case 6_020A - Copy

6C6 CIDP Case 6_020A - Copy
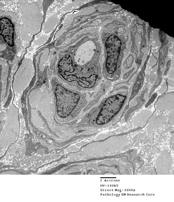
There are multiple well-formed onion bulbs surrounding thinly myelinated central axons. (electron micrographs)


Gallery RSS RSS Feed | Archive View | Login | Powered by Zenphoto