Table of Contents



Washington University Experience | PERIPHERAL NEUROPATHY | 7B CIDP | 6C7 CIDP Case 6_006A - Copy

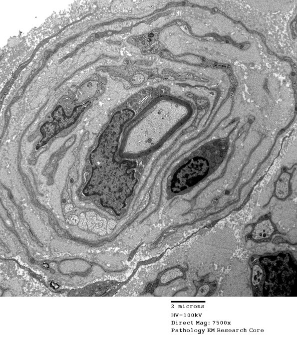
6C7 CIDP Case 6_006A - Copy
6C7-9 In this onion-bulb a central axon shows myelin loss and a well formed Schmidt-Lanterman cleft. (electron micrographs)


Gallery RSS RSS Feed | Archive View | Login | Powered by Zenphoto