Table of Contents



Washington University Experience | PERIPHERAL NEUROPATHY | 7B CIDP | 6C9 CIDP Case 6_010 - Copy

6C9 CIDP Case 6_010 - Copy
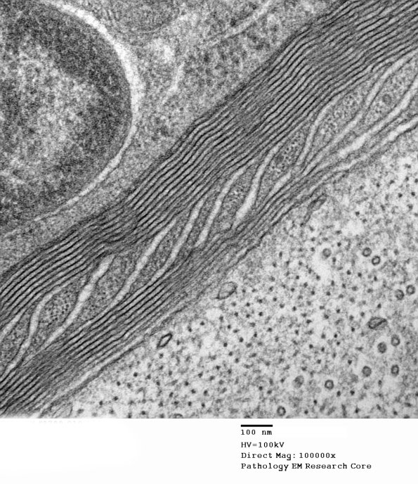
In this onion-bulb a central axon shows myelin loss and a well formed Schmidt-Lanterman cleft. (electron micrographs)


Gallery RSS RSS Feed | Archive View | Login | Powered by Zenphoto