Table of Contents
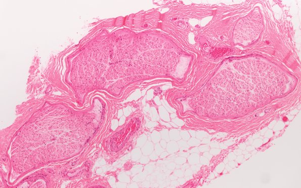
Washington University Experience | PERIPHERAL NEUROPATHY | 7B CIDP | 7A1 CIDP (Case 7) H&E 10X
Case 7 History ---- The patient is a 55 year old man with progressive weakness and diabetes mellitus. Operative procedure: Sural nerve and gastrocnemius muscle biopsies. ---- 7A1 There is minimal inflammation, endoneurial pallor and atrophy. (H&E)
