Table of Contents
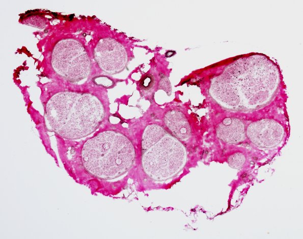
Washington University Experience | PERIPHERAL NEUROPATHY | 7B CIDP | 7A1 CIDP (Case 7) VVG 3
7B1-4 These VVG-stained frozen sections show nearly complete loss of myelin in the nerve from the patient (7A1,2) in comparison to control nerves. (Courtesy Alan Pestronk, MD)
