Table of Contents
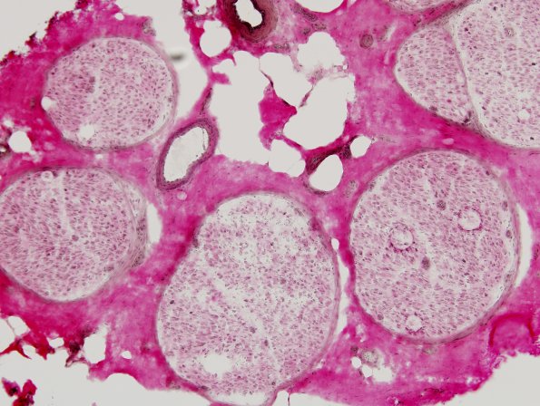
Washington University Experience | PERIPHERAL NEUROPATHY | 7B CIDP | 7B2 CIDP (Case 7) VVG 2
These VVG-stained frozen sections show nearly complete loss of myelin in the nerve from the patient (7B1,2) in comparison to control nerves (7B3,4). (Courtesy Alan Pestronk, MD)
