Table of Contents



Washington University Experience | PERIPHERAL NEUROPATHY | 7B CIDP | 7B3 Control VVG 4

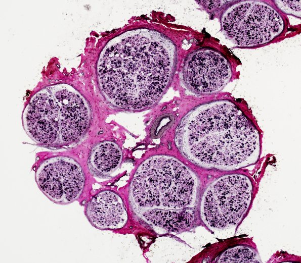
7B3 Control VVG 4
These VVG-stained frozen sections show numerous axons in control nerves. (Courtesy Alan Pestronk, MD)


Gallery RSS RSS Feed | Archive View | Login | Powered by Zenphoto