Table of Contents



Washington University Experience | PERIPHERAL NEUROPATHY | 7B CIDP | 7B4 Control vVG 2

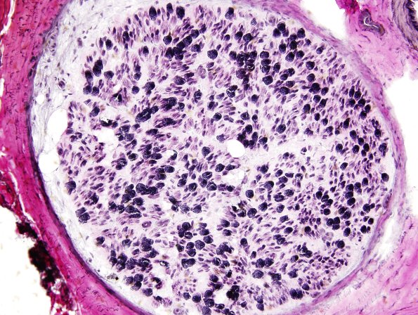
7B4 Control vVG 2
These VVG-stained frozen sections show numerous axons in control nerves. (Courtesy Alan Pestronk, MD)


Gallery RSS RSS Feed | Archive View | Login | Powered by Zenphoto