Table of Contents
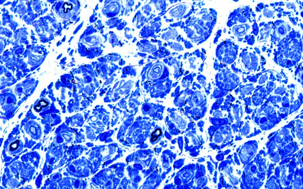
Washington University Experience | PERIPHERAL NEUROPATHY | 7B CIDP | 7D3 CIDP (Case 7) Plastic 100X 2
Several images show numerous onion bulbs and axons with thin or absent myelin sheaths. (Plastic sections) ---- Not shown: Electron microscopy was performed (images no longer available) confirming the presence of demyelinated axons and onion-bulbs but also provides evidence of axonal degeneration and formation of bands of Büngner.
