Table of Contents
« prev
next »
Washington University Experience
|
PERIPHERAL NEUROPATHY
|
7B CIDP
|
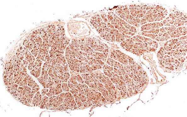
8C2 CIDP (Case 8) Roots S100 10X (smaller root)
8C2-4 Higher magnification images show numerous onion bulbs. (S100 IHC)
Image Info
Camera Maker:
Olympus
Camera Model:
DP74 #1
Shutter Speed:
41/100000 sec
Metering Mode:
Multi-Spot
Gallery RSS
|
Archive View
|
Login
|
Powered by
Zenphoto