Table of Contents
« prev
next »
Washington University Experience
|
PERIPHERAL NEUROPATHY
|
7B CIDP
|
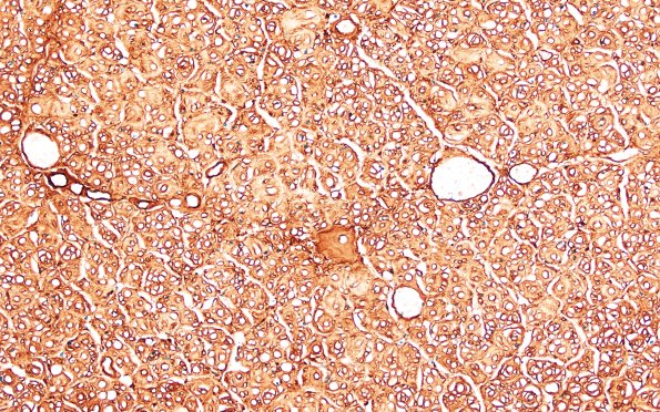
8D3 CIDP (Case 8) Roots Coll IV 20X
A similar pattern is shown in this collagen IV immunohistochemical stain that labels basement membrane.
Image Info
Camera Maker:
Olympus
Camera Model:
DP74 #1
Shutter Speed:
7/4321 sec
Metering Mode:
Multi-Spot
Gallery RSS
|
Archive View
|
Login
|
Powered by
Zenphoto