Table of Contents
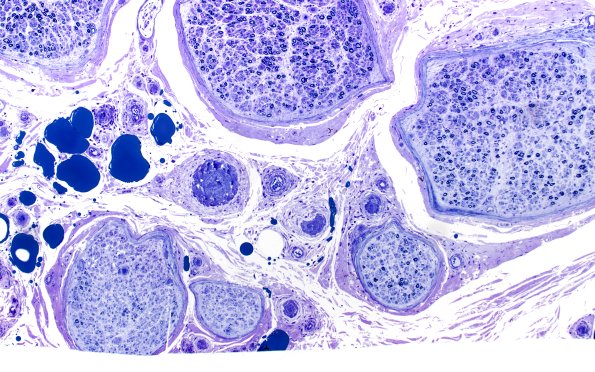
Washington University Experience | PERIPHERAL NEUROPATHY | 7B CIDP | 8F1 CIDP (Case 8) Roots Plastic 20X 1
A low magnification image of this sural nerve shows marked variation in myelination from fascicle-to-fascicle. (Plastic sections)
