Table of Contents
Washington University Experience | PERIPHERAL NEUROPATHY | 7B CIDP | 9A2 CIDP, Case 9) H&E 20X.jpg
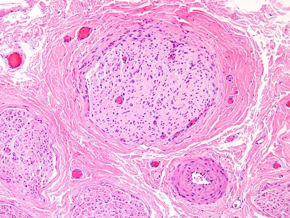
The nerve is rather unremarkable at low magnification. At higher magnification there is one fascicle in particular which is pale and apparently without myelinated axons. (H&E)
